飞禽走兽

欢迎您!访问飞禽走兽怎么玩?图案说明、赔率机制与玩法技巧 | 飞禽走兽攻略站
中文EN

热点推荐

宫外孕检查培训
作者:admin 来源:本站原创 日期:2015-02-02 字体:

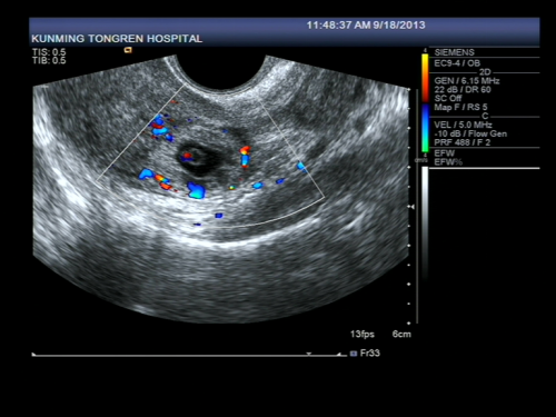
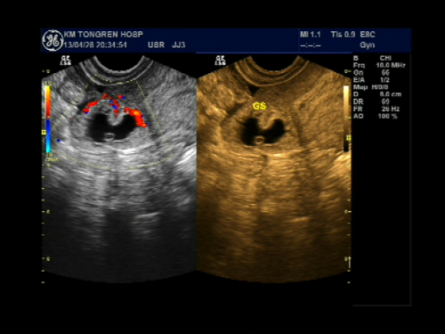
  受精卵在子宫体腔以外的地方着床成为异位妊娠,习称宫外孕,是妇产科常见的急腹症,发病率约1%,是孕产妇的主要死亡原因之一。根据受精卵在子宫体外种植部位不同可分为:输卵管妊娠、卵巢妊娠、腹腔妊娠、阔韧带妊娠、宫颈妊娠,其中以输卵管妊娠最常见,占95%左右,而壶腹部妊娠占75%。一般来讲,输卵管有异常的育龄妇女如输卵管炎症、输卵管手术史、输卵管发育不良或功能异常者易导致异位妊娠,其他例如辅助生殖技术、避孕失败、子宫肌瘤或者子宫内膜异位症也容易导致疑问妊娠的发生。根据输卵管妊娠的病理特点可分为以下4型:流产型、破裂型、陈旧性、继发性,主要临床表现是停经后腹痛与阴道出血,当腹腔内出血量大或者疼痛剧烈时可出现晕厥与休克,超声检查下可观察到:宫腔内空虚,宫旁出现似孕囊样包块或者不均质包块,盆腔积液等等,再结合病史、血HCG、尿HCG结果分析,一般可诊断早期异位妊娠。

 

 

 

飞禽走兽 风采

科室导航

医生团队

就医导航

特色诊疗

报告查询

医保政策

联系我们

友情链接

环境信息公开

医院地址:云南省昆明市广福路1099号 网站地图
乘车路线:1、乘K15、196、78、24、53、208路公交车到飞禽走兽攻略站 (广福路)站;2、乘地铁5号线到庄家塘立交桥地铁A口出站 飞禽走兽攻略站 版权所有 Copyright © 2014-2050 飞禽走兽怎么玩?图案说明、赔率机制与玩法技巧 | 飞禽走兽攻略站.ALL rights reserved 云卫网审【2009】017号,滇ICP备09011568号-1